¡Suscríbase a nuestra newsletter y manténgase al día con las últimas noticias!

Suscribirse Ya soy suscriptor

Está usted usando un software que bloquea nuestros anuncios.

Ya que publicamos noticias gratuitamente, dependemos de los ingresos de nuestros banners. Por favor, le rogamos que desactive su bloqueador de anuncios y recargue la página para poder seguir visitando esta web.
¡Gracias!

Haga clic aquí para leer la guía de cómo desactivar su bloqueador de anuncios.

Sign up for our daily Newsletter and stay up to date with all the latest news!

Suscripción I am already a subscriber
Estrategia evolutiva singular:

El pawpaw permite la autofecundación, pero frena después el desarrollo del embrión

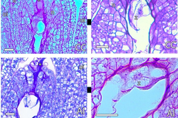
Incompatibilidad de acción tardía en el pawpaw, una planta con flores de divergencia temprana. Un nuevo estudio revela los mecanismos que impiden la autopolinización en Asimina triloba, comúnmente conocida como pawpaw.

© IHSM Universidad de Málaga

Esta especie pertenece a un linaje de divergencia temprana dentro de las plantas con flores y presenta un periodo inusualmente largo de receptividad del estigma, lo que podría favorecer la autopolinización accidental. Mediante análisis histológicos detallados y RNA-seq, los investigadores demuestran que el pawpaw posee un sistema de incompatibilidad de acción tardía (LSI, por sus siglas en inglés).

En flores autopolinizadas, la fertilización sí ocurre, pero el desarrollo del embrión se detiene antes de la primera división celular, mientras que el endospermo solo se desarrolla brevemente. Estas semillas detenidas desencadenan la abscisión de los frutos aproximadamente 20 días después de la polinización. En contraste, los embriones procedentes de polinización cruzada continúan su desarrollo con normalidad.

© IHSM Universidad de Málaga

Los datos transcriptómicos muestran que las diferencias entre semillas autopolinizadas y cruzadas aparecen ya a los 8 días después de la polinización, con las semillas autopolinizadas activando vías relacionadas con el estrés y la senescencia. Esto indica que la respuesta molecular de incompatibilidad comienza mucho antes de que aparezcan diferencias visibles en el desarrollo. Este estudio arroja nueva luz sobre la evolución de la incompatibilidad autógama en angiospermas de divergencia temprana y destaca al pawpaw como un modelo valioso para comprender cómo las plantas mantienen la diversidad genética.

Los hallazgos de este estudio, realizado por los investigadores del IHSM La Mayora (UMA–CSIC) Cristina Ferrer-Blanco, Jorge Lora, Enrique López Gómez, Aynhoa Gómez Ollé, Noé Fernández Pozo e Iñaki Hormaza, revelan que A. triloba combina dicogamia protogínica con un sistema LSI post-cigótico, una combinación excepcionalmente rara entre las plantas con flores.

Fuente: www.ihsm.uma-csic.es

Fecha de publicación:

Artículos relacionados → Ver más